Research Paper Volume 9, Issue 3 pp 880—899

Functional decline at the aging neuromuscular junction is associated with altered laminin-α4 expression

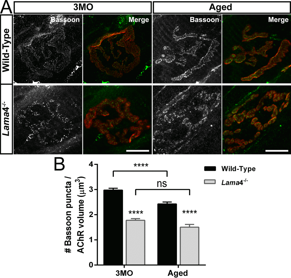
class="figure-viewer-img"

Figure 2. Decreased density of active zone marker Bassoon at lama4-/- neuromuscular junctions during adulthood and aging. (A) Representative staining of Bassoon (grayscale in single channel and green in merged channels) with respect to postsynaptic AChR endplate (red) in diaphragm muscle. WT NMJs at both ages; 3MO and aged group presented uniformly distributed Bassoon puncta while aged-matched lama4-/- NMJs showed irregular distribution of Bassoon puncta. Scale bar = 10 µm. (B) Bassoon density measured by number of puncta over volume of postsynaptic AChR endplates. While aged WT NMJs maintained uniform pattern of Bassoon puncta, the measurement of Bassoon density clearly showed decreased density in comparison with 3MO WT. Lama4-/- NMJs on the other hand, consistently showed decreased Bassoon density from 3MO to aged group. n = 3 for each genotype per age, NMJs = 47-55 for WT, NMJs = 33-69 for lama4-/-. Statistical analysis was performed using two-way ANOVA with Tukey’s post hoc test; values are presented as mean ± SEM (**** P < 0.0001).