Research Paper Volume 17, Issue 10 pp 2637—2649

Establishment of an optimized chemotherapy-induced mouse model for premature ovarian failure: protocol and findings

class="figure-viewer-img"

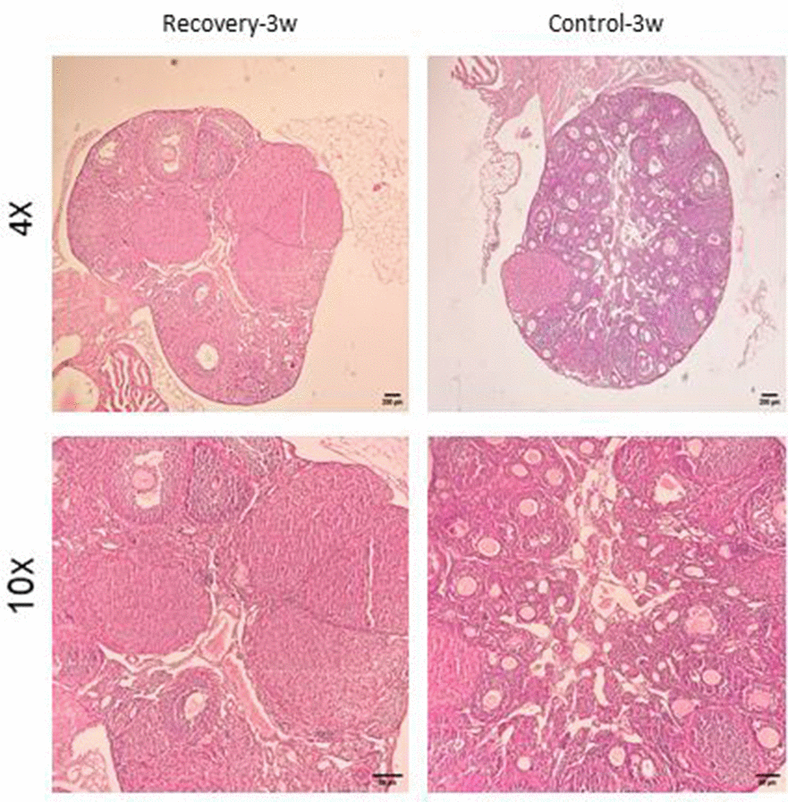
Figure 8. Confirmation of natural recovery after 3 weeks of establishment POF model in NMRI female 6-8weeks mice. Histological confirmation of ovarian POF phenotype three weeks after induction with CTX (100 mg/kg) + Bu (20 mg/kg), showing reduced primordial follicle reserve, increased atretic follicles, and widespread granulosa cell apoptosis.